大阪梅田で月々3,000~10,500円のマウスピース矯正なら

〒530-0001 大阪府大阪市北区梅田1-12-6 E-maビル5F

診療時間
10:00~19:00

休診日:火曜・水曜

ご予約・お問合せはこちらへ

0120-320-534

スピード矯正

「少しでも早く治療を終えたい」患者さまへ

「できるだけ早く治療を終えたい」そんな患者さまの声に応えるのが「スピード矯正」です。当院では光加速矯正装置を用いた最新の方法を取り入れており、日本でも有数の症例数を誇ります。

「加速装置ってどういうもの?」「治療期間はどのくらい短くなるの?」「どうして治療を早く終えられるの?」などの疑問にお答えし、従来の矯正とどのように違うのかをご説明します。少しでも早く治療を終わらせたいとお考えの方は、ぜひご一読ください。

そもそも「スピード矯正」とは

「スピード矯正」とは、通常より短い期間で矯正治療を終えることを目的とした方法です。

従来は、外科的に骨に切れ目を入れる「コルチコトミー」という手法がありました。これは骨代謝(リモデリング)を活性化することで、歯の動きを加速する方法です。しかし手術が必要な上、かなりの痛みを伴うのが難点でした。

その後、レーザーやバイブレーションを活用した装置が開発され、現在では光を用いた最新の「光加速矯正」が主流となっています。

私どもの歯科医院では、この光加速矯正装置を使用して治療期間を大幅に短縮しています。

「光加速矯正装置」の
仕組みについて

お口の中に近赤外線を照射し、細胞内のミトコンドリアを活性化させることで骨代謝を高め、歯の移動を速める装置です。上で触れたコルチコトミーなどの外科手術とは異なり、痛みや負担を最小限に抑えながら矯正期間を短縮できます。

代表的な装置の一つが、ドイツで開発された 「PBM healing」 です。Dr.斎藤 秀也はPBM healingの日本唯一の公式スピーカー(講師)を務め、全国の歯科医師に指導しています。安心してお任せください。

歯科医師向け研修会で講師を務めるDr.斎藤秀也

スピード矯正がもたらすメリット

スピード矯正のメリットは、何と言ってもマウスピース矯正の交換サイクルを通常1週間から最短3日に短縮でき、治療期間を大幅に短縮できる点です。さらに治療中の痛みを軽減する効果も期待できます。

マウスピース矯正による痛みは、もともとワイヤー矯正に比べて最大10分の1程度と言われますが、加速矯正装置を用いることでさらに快適に治療を進められます。

スピード矯正による
治療期間の目安

インビザラインでは通常、1週間に1枚マウスピースを交換します。しかし加速矯正装置を併用すると、最短で3日ごとの交換で済み、通常1年かかる治療を最短約5か月で終えることも可能です。

スピード矯正に用いる
装置の使用方法

1日あたり上下4分ずつ、合計8分間、お口に光を照射するだけで完了します。

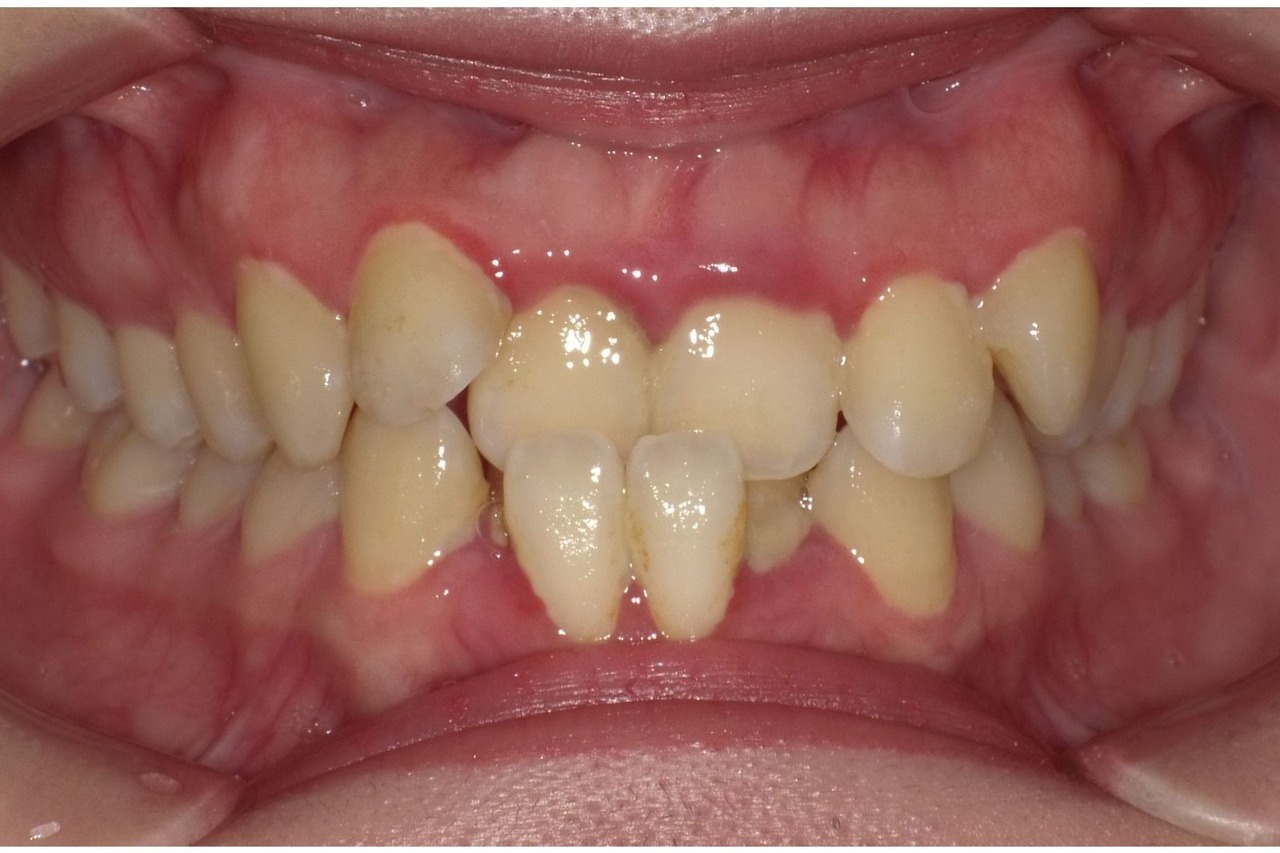
スピード矯正を活用した
治療の症例

治療前

6か月後

6か月でここまでキレイに歯が並びました。

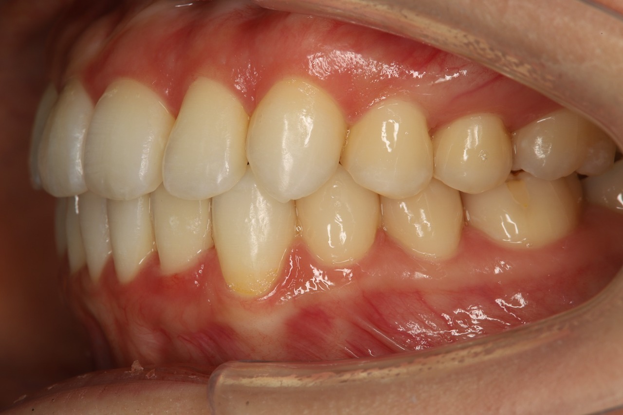
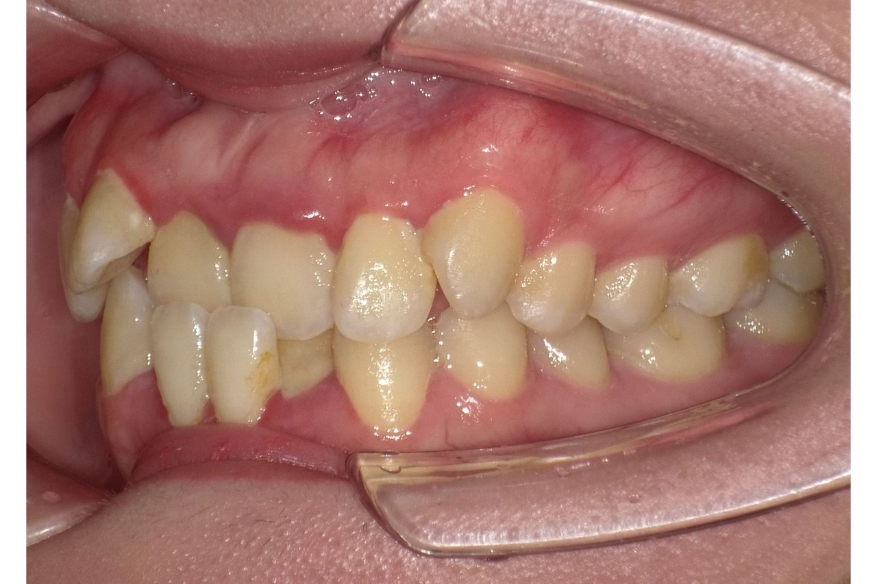
治療前

6か月後

前歯だけでなく奥歯の咬み合わせまで整っています。

スピード矯正の具体的な症例や治療期間、リスクについては以下のページをご覧ください。

デンタルヘルスガード
についてのご案内

未承認医薬品等であることの明示:
さいとう矯正歯科で取り扱う光加速矯正装置(デンタルヘルスガード)は、医薬品医療機器等法において承認を得ているものではありません。ただし、本装置は医療機器としてクラス1に登録されています。

入手経路等の明示:
さいとう矯正歯科で取り扱う光加速矯正装置(デンタルヘルスガード)は、メーカーダイレクト、日本PBM Healing社より入手しています。

国内の承認医薬品等の有無の明示:
加速矯正装置として医薬品医療機器等法(薬機法)の承認を受けているものは、国内には存在しません。

諸外国における安全性等に係る情報の明示:
PBM(フォトバイオモジュレーション)の手法に関しては古くから多くの論文があり、PBMヒーリングオルソと同様の効果を持つ「オルソパルス」は2015年にFDA(米国食品医薬品局)の認証を受けています。
ここでは光加速矯正装置(PBMヒーリングオルソ)の諸外国における安全性等にかかわる情報は明示できません。今後、重大なリスクや副作用が報告される可能性があります。

Dr.斎藤秀也

この記事の著者

さいとう歯科
矯正歯科医師:斎藤 秀也(さいとう しゅうや)

  • 日本矯正歯科学会 会員
  • インビザライン レッドダイヤモンドプロバイダー(歯科医師10万人の内、約5名)※インビザラインジャパン調べ​
  • インビザライン社 公式スピーカー(講師)
  • PBM healing社 公式スピーカー(講師)
  • ORTCインビザライン 公式スピーカー(講師)

<講演歴>

  • 日本アライナー矯正歯科研究会(JAAO)第2回症例検討会 講演
  • 日本アライナー矯正歯科研究会(JAAO)第4回症例検討会 講演
  • 日本アライナー矯正歯科研究会(JAAO)第6回症例検討会 講演
  • 日本アライナー矯正歯科研究会(JAAO)第7回症例検討会 講演
  • 日本アライナー矯正歯科研究会(JAAO)第9回症例検討会 講演
  • 2018年ISC小樽 デジタル矯正インビザラインの今 講演
  • PDM札幌 2020年「デジタル機器を使用した矯正治療」講演
  • PDM札幌 2021年「矯正治療の光と影」講演
  • ORTC 絶対に失敗しないマウスピース矯正33のことVol.1~33 講演