大阪梅田で月々3,000~10,500円のマウスピース矯正なら

〒530-0001 大阪府大阪市北区梅田1-12-6 E-maビル5F

診療時間
10:00~19:00

休診日:火曜・水曜

ご予約・お問合せはこちらへ

0120-320-534

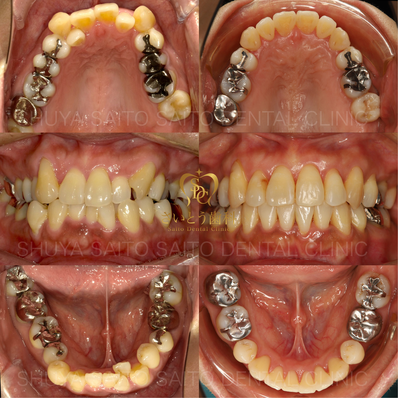
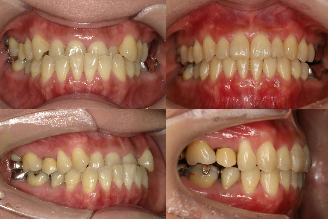
Dr.斎藤秀也の症例

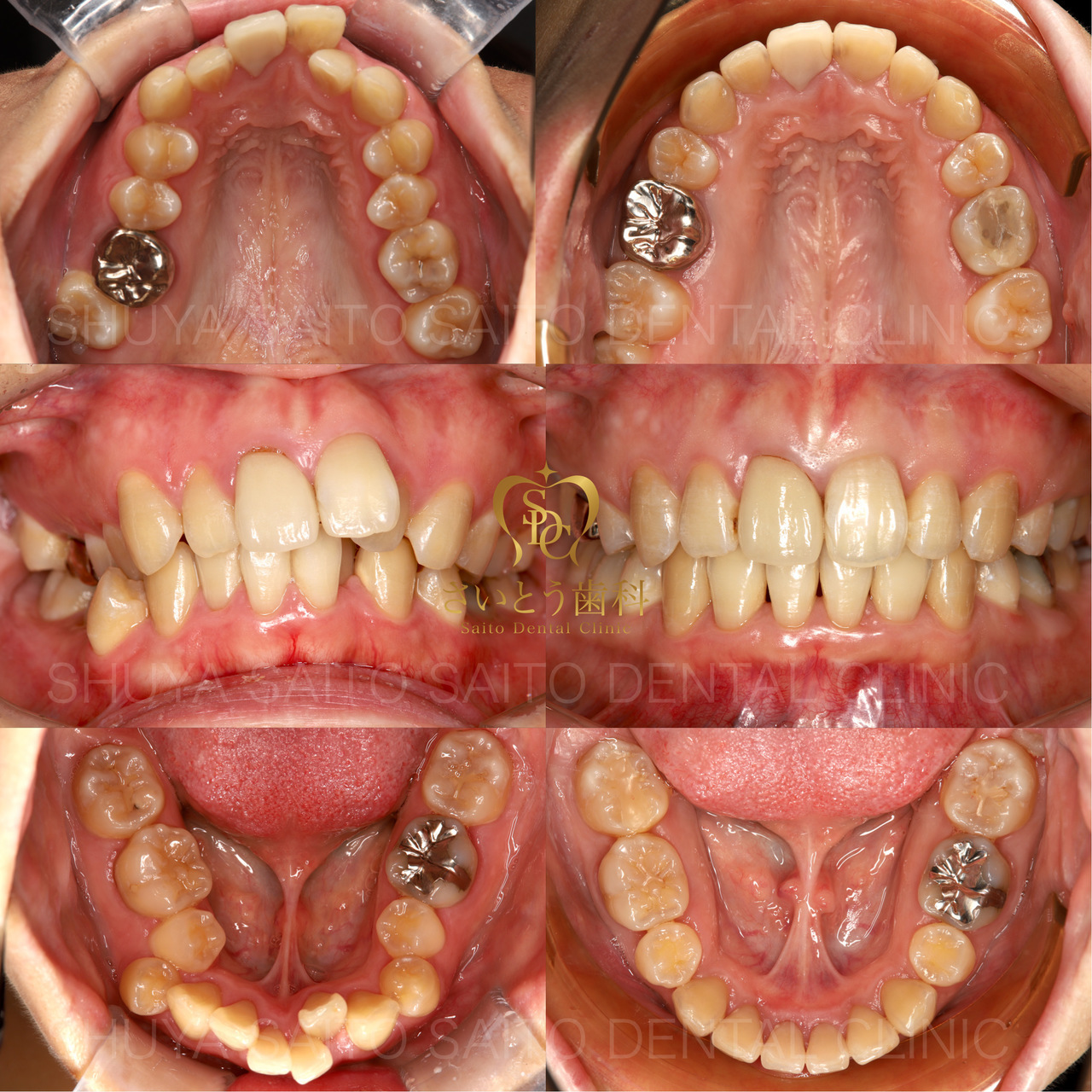
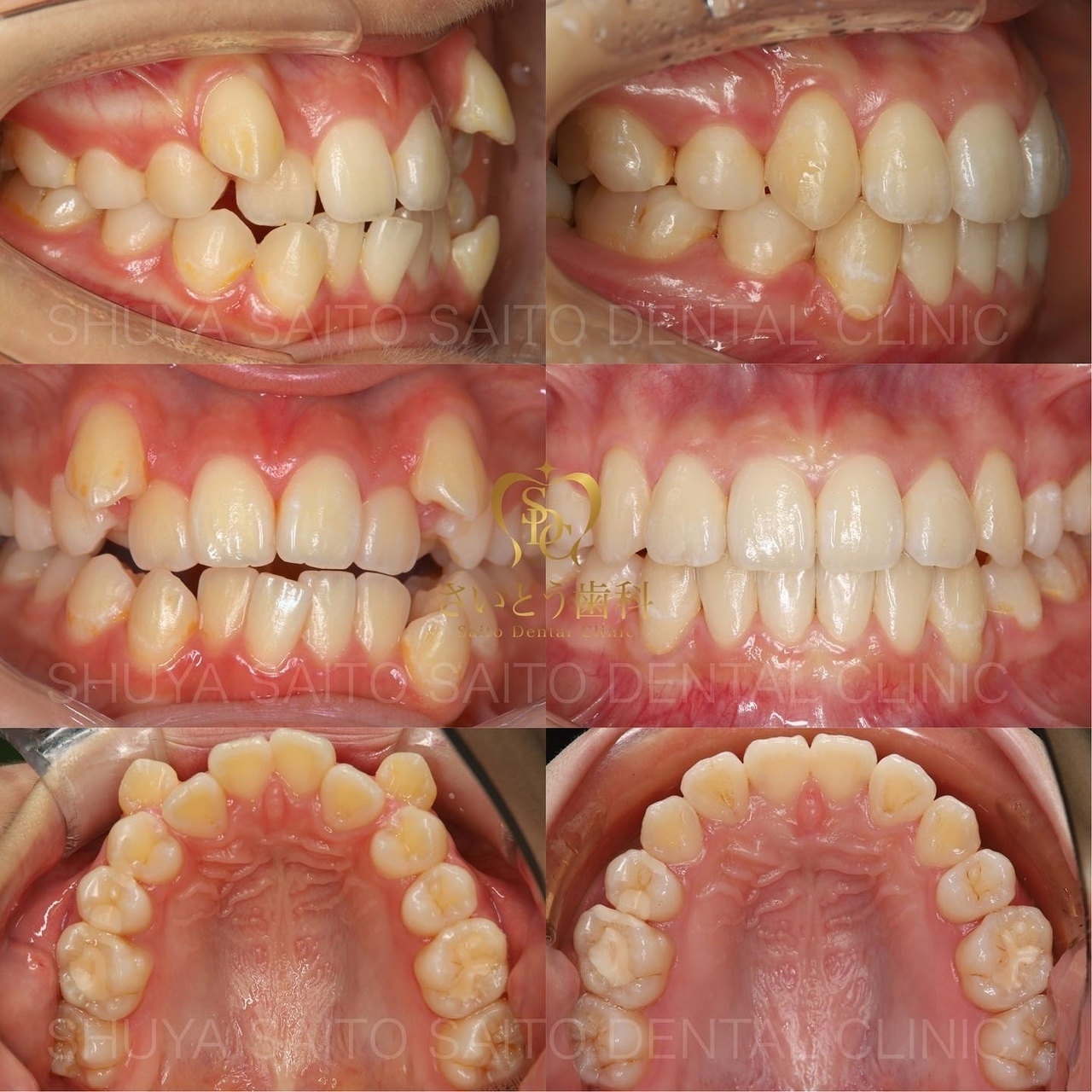
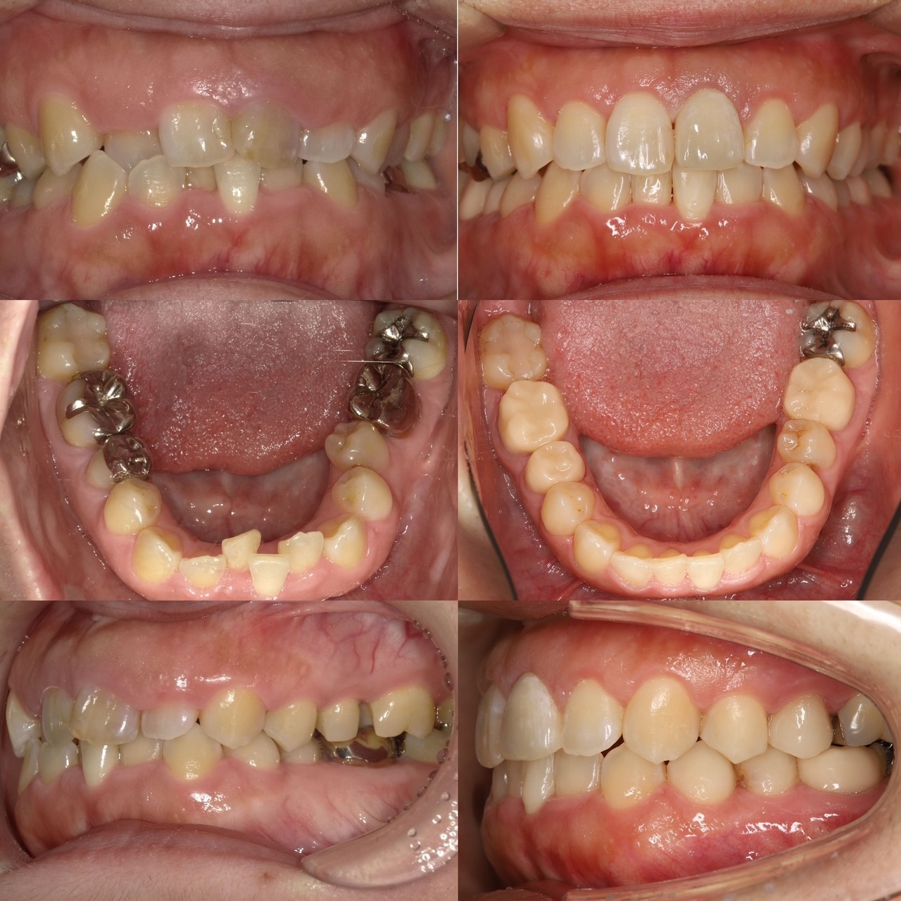
ガタガタの歯並び
(叢生:そうせい)

叢生(そうせい)とは、歯の大きさとあごの大きさの不均衡によって、歯が部分的に重なり合って生えている状態を指します。一般に「乱ぐい歯」と呼ばれており、犬歯があとから生えて「八重歯」になるケースもあります。

歯自体が大き過ぎたり、あごの骨の発育が不十分だったりする場合に起こりがちで、程度が大きい場合は永久歯を抜いて矯正治療を行うことも。逆に歯が小さい場合には隙間ができてしまい、「すきっ歯(空隙歯列)」と呼ばれる状態が生まれます。

乳歯の歯列に隙間があるのは、永久歯が生えてくるためのスペースなので正常ですが、永久歯では隣同士の歯が接しているのが正常な状態です。

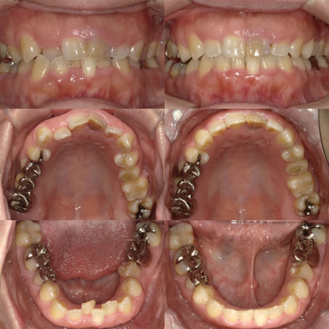
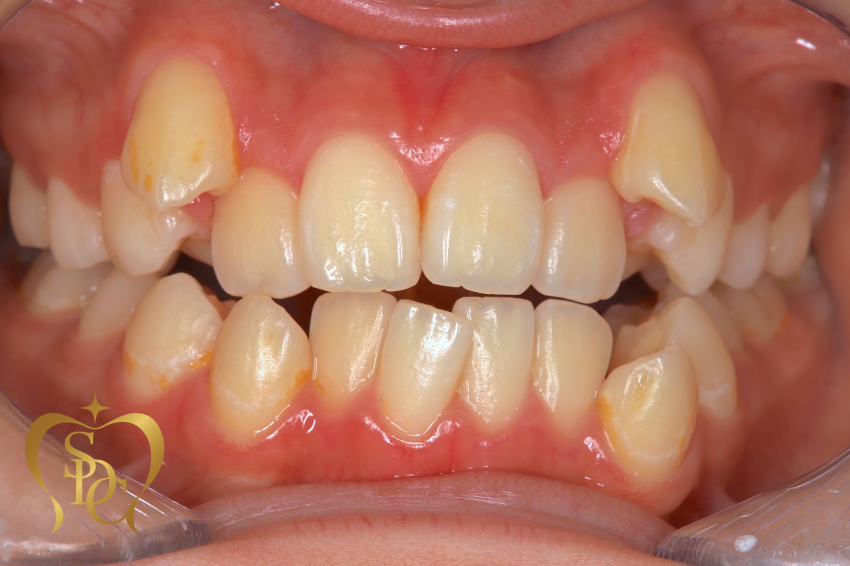
八重歯の改善

インビザラインによる上下4番の抜歯治療
治療期間
2年
プラン
インビザライン・フル
治療内容

今回はインビザラインでは難しいとされる「4番目の歯の抜歯」を行いました。抜歯は必須ではなかったものの、「笑顔の美しさ」や「将来的な健康」を考えて患者さまが希望されました。

当院ではCTで骨格を分析し、歯の位置を0.1mm単位で調整する精密な治療計画を立案。見た目と健康の両面から、患者さまにより適した方法を提案しています。

施術のリスク:全ての方に、以下の症状が発生する可能性があります。

  • 疼痛
  • 咬合痛
  • 歯根吸収
  • 歯根露出

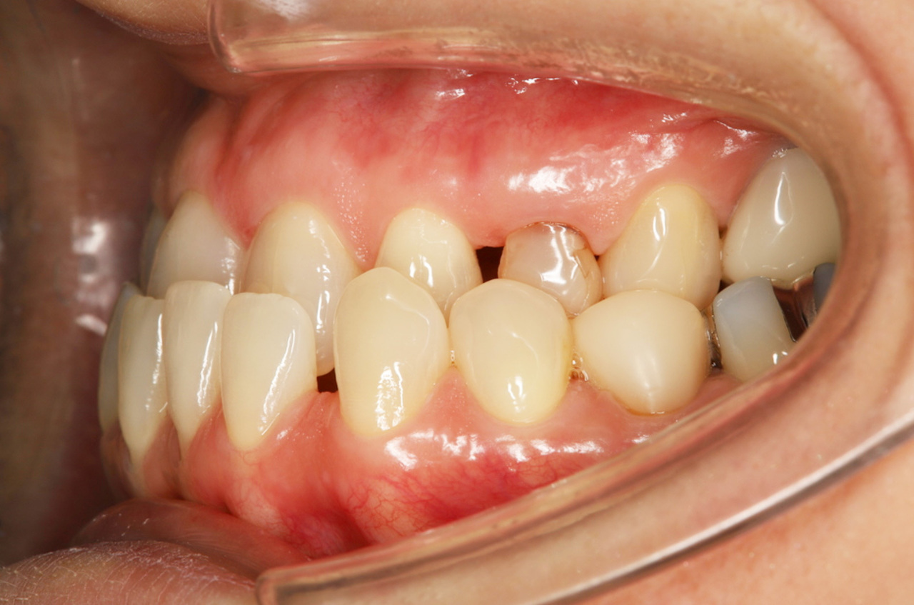
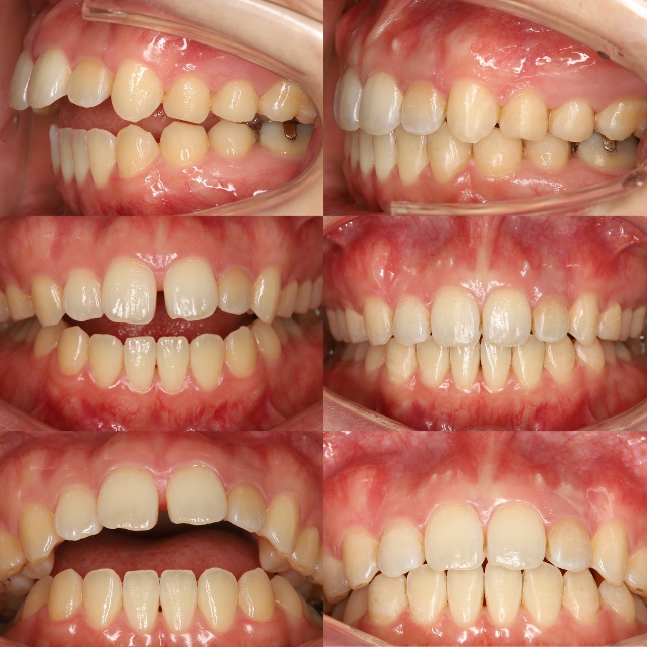
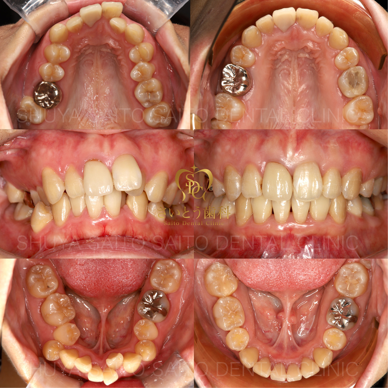
八重歯の改善

インビザラインによる上下4番の抜歯治療
治療期間
1年10か月
プラン
インビザライン・フル
治療内容
インビザラインでの「4番目の歯の抜歯」は、難易度が高いとされています。こちらの患者さまも、必ずしも抜歯が必要ではありませんでしたが、「笑顔の美しいお顔」や「将来の歯の健康」を考え、抜歯を希望されました。

私どもはむやみに歯を抜くことはせず、必要な場合にのみ抜歯を提案します。治療計画は見た目の美しさと健康面を両立する方針で立てています。

施術のリスク:全ての方に、以下の症状が発生する可能性があります。

  • 疼痛
  • 咬合痛
  • 歯根吸収
  • 歯根露出

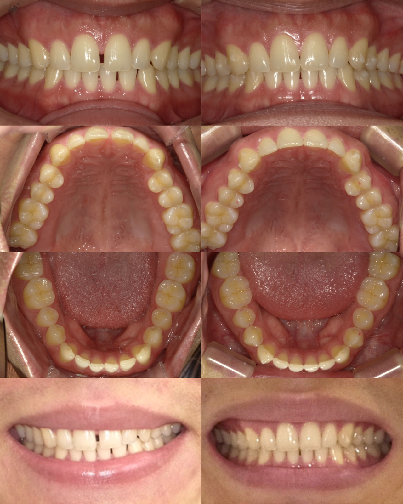
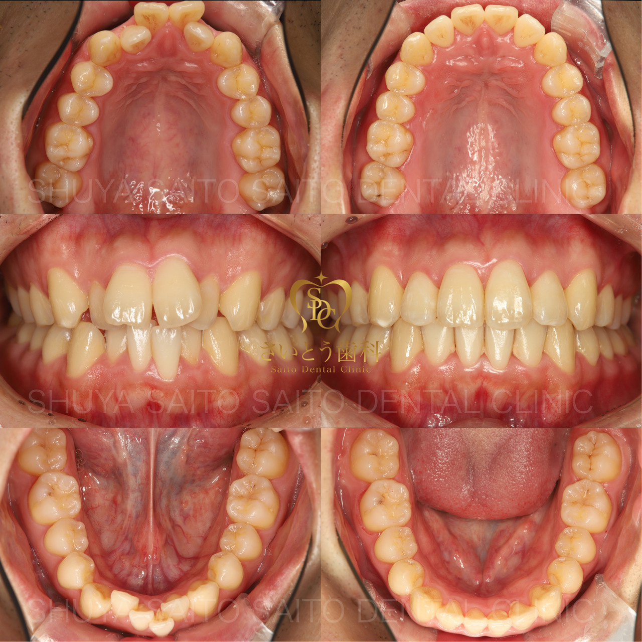
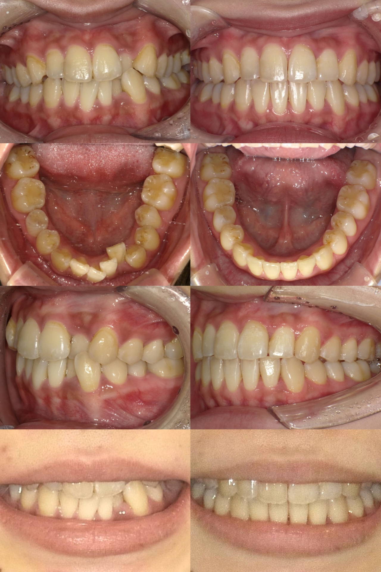
ガタガタな歯並びを改善したい

インビザラインによる上下4番の抜歯治療
治療期間
1年6か月
プラン
インビザライン・フル+加速矯正装置
治療内容
かなり重度の叢生(ガタガタ)で、一般的にはマウスピース矯正が難しいとされるケースです。当院では抜歯を伴う矯正にも対応しており、今回は患者さまのご希望により、上下4番目を抜歯しました。

さらに加速矯正装置を併用し、通常3~4年かかる治療を1年半で終了しています。

施術のリスク:全ての方に、以下の症状が発生する可能性があります。

  • 疼痛
  • 咬合痛
  • 歯根吸収
  • 歯根露出

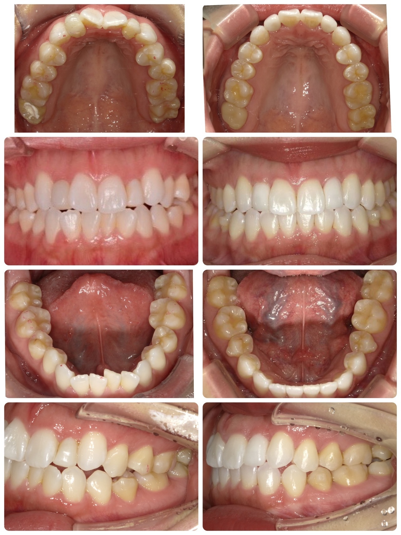
ガタガタな歯並びを改善したい

インビザラインによる非抜歯治療
治療期間
6か月
プラン
インビザライン・フル+加速矯正装置
治療内容
反対になっていた前歯を整えることで、お顔の印象が大きく変わりました。

さらに加速矯正装置を使用することで、短期間で治療を終えられました。

施術のリスク:全ての方に、以下の症状が発生する可能性があります。

  • 疼痛
  • 咬合痛
  • 歯根吸収
  • 歯根露出
 

目立たない矯正治療でガタガタを改善したい

インビザラインによる非抜歯治療
治療期間
1年4か月
プラン
インビザライン・フル
治療内容
担当矯正医からのコメント

下あごに十分なスペースがなく、通常であれば抜歯が必要な状態でした。しかし私どもは非抜歯で治療を行い、歯並びを整えることに成功。

抜歯を行うと口元が引っ込んでしまい、横顔の見た目が悪化する場合があります。当院ではお顔の状態だけでなく、あごの関節や骨格も考慮。「どちらがより美しいお顔になるか」を考えた上で、歯を抜く・抜かないの判断をしています。

今回は歯を抜かずに、美しいお顔とキレイな歯並びを実現できました。

施術のリスク:全ての方に、以下の症状が発生する可能性があります。

  • 疼痛
  • 咬合痛
  • 歯根吸収
  • 歯根露出

目立たない矯正治療でガタガタを改善したい

インビザラインによる非抜歯治療
治療期間
1年4か月
プラン
インビザライン・フル
治療内容
担当矯正医からのコメント

上下の前歯のガタガタにお悩みで来院された患者さまです。奥歯の咬み合わせが不十分で歯列が狭いなどいくつかの問題がありましたが、インビザラインのみで咬み合わせまで整える治療を行いました。

施術のリスク:全ての方に、以下の症状が発生する可能性があります。

  • 疼痛
  • 咬合痛
  • 歯根吸収
  • 歯根露出

歯並びと口元をキレイにしたい

インビザラインによる非抜歯治療
治療期間
1年4か月
プラン
インビザライン・フル
治療内容
担当矯正医からのコメント

上の前歯から2番目に、内側に傾いた矮小歯(生まれつき小さい歯)があり、プラスチックでカモフラージュするように覆われていました。矯正で適した幅に調整し、セラミックで修復。

さらに右上7番目の歯は歯の根の先に化膿している箇所があったため、その治療と矯正治療を行って、こちらもセラミックで補修しています。

施術のリスク:全ての方に、以下の症状が発生する可能性があります。

  • 疼痛
  • 咬合痛
  • 歯根吸収
  • 歯根露出

ガタガタな歯並びを改善したい

インビザラインによる非抜歯治療
治療期間
10か月
プラン
インビザライン・フル
治療内容
担当矯正医からのコメント

上下のガタガタが大きく、特に下あごは通常なら抜歯が必要なケースでしたが、精密な診断と綿密な計画により、非抜歯で短期間のうちに改善しました。

その後、ガミースマイル(笑うと歯茎が露出する状態)の改善のため前歯の歯肉切除を行い、神経をとった歯や銀歯は白い被せ物に交換。

今回のような詰め物や被せ物がある場合は、矯正後に改善した歯並びに合わせ、改めて修復を行います。

※歯肉切除や被せ物などの治療には、別途費用がかかります。

施術のリスク:全ての方に、以下の症状が発生する可能性があります。

  • 疼痛
  • 咬合痛
  • 歯根吸収
  • 歯根露出

出っ歯(上顎前突)

「上顎前突」、いわゆる「出っ歯」とは、上の前歯が前方に突き出ている咬み合わせのことです。出っ歯になる原因には、あごの骨の大きさが問題であるケースと、歯そのものに問題があるケースがあります。

患者さまの約7割を占めるのが、下あごの骨が小さいことが要因となるケースです。出っ歯はうまく食べ物を噛めないだけでなく、転んだときに歯や骨を破損したり、唇を切ったりするリスクが高まる他、口元の見た目にも悪い影響を与えます。

出っ歯とガタガタの歯並びを改善したい

インビザラインによる非抜歯治療
治療期間
1年6か月
プラン
インビザライン・フル
治療内容

重度とされる出っ歯の症例です。一般的には抜歯が必要とされることも多いですが、お顔や骨格から総合的に診断した結果、抜歯をせずに歯並びを整えることに成功しました。

施術のリスク:全ての方に、以下の症状が発生する可能性があります。

  • 疼痛
  • 咬合痛
  • 歯根吸収
  • 歯根露出

出っ歯で口が閉じず、抜歯をすすめられた

インビザラインによる非抜歯治療
治療期間
1年1か月
プラン
インビザライン・フル
治療内容

通常であれば抜歯が必要とされる歯並びでしたが、Dr.斎藤秀也が骨格から分析を行い、0.1mm単位で歯の位置を動かす精密なシミュレーションを作成しました。

 

治療の結果、骨格に合わせて歯を全体的に後方へ移動させることで口が閉じやすくなり、出っ歯や前歯のガタガタも改善されました。

施術のリスク:全ての方に、以下の症状が発生する可能性があります。

  • 疼痛
  • 咬合痛
  • 歯根吸収
  • 歯根露出

上下のガタガタと出っ歯で口が閉じにくい

インビザラインによる非抜歯治療
治療期間
1年
プラン
インビザライン・フル
治療内容

上の歯を後方に移動してスペースを作り、歯並びを整えるとともに、奥歯の咬み合わせを調整しました。緊密な咬み合わせを実現することで、治療後の後戻りを抑え、歯の寿命を延ばす効果も期待できます。

 

マウスピース矯正で奥歯まで治せる歯科医師は少ないですが、Dr.斎藤秀也には対応可能な治療です。

施術のリスク:全ての方に、以下の症状が発生する可能性があります。

  • 疼痛
  • 咬合痛
  • 歯根吸収
  • 歯根露出

前歯で噛めないので出っ歯を改善させたい

インビザラインによる非抜歯治療
治療期間
1年3か月
プラン
インビザライン・フル
治療内容

上下の奥歯を後ろに移動させてスペースを確保し、歯列を横に広げることで、理想的なアーチ型の歯並びを形成できました。

さらに上あごの歯の位置を動かすことで、ガミースマイルの改善も実現。ワイヤー矯正では外科手術が検討されるようなケースでしたが、私どもはインビザラインのみで仕上げています。

施術のリスク:全ての方に、以下の症状が発生する可能性があります。

  • 疼痛
  • 咬合痛
  • 歯根吸収
  • 歯根露出

受け口(反対咬合)

「反対咬合」あるいは「受け口」とは、下の前歯が上の前歯より前に出ている状態です。成長期にこの状態のまま放置すると、「骨格性下顎前突(こっかくせいかがくぜんとつ)」と呼ばれる重度の状態に進行し、外科手術が必要になるケースもあります。

成人では見た目の問題が大きいのはもちろんですが、前歯に咬み合わせの負担が集中した結果、早期に失うリスクも高いのです。

受け口はまだ耐えられても、前歯を失った状態では日常生活に大きな支障が出ます。

程度によって差はありますが、多くの場合は矯正治療で改善が期待できますので、早期に治療を始めることが望ましいと言えるでしょう。

 受け口を改善したい

インビザラインによる非抜歯治療
治療期間
1年6か月
プラン
インビザライン・フル
治療内容

一般的には難しいとされる受け口の治療です。お顔や骨格の診断を行った上で、今回は外科手術や抜歯をせずに治療しました。横顔や笑顔の印象も、大幅に改善されました。

施術のリスク:全ての方に、以下の症状が発生する可能性があります。

  • 疼痛
  • 咬合痛
  • 歯根吸収
  • 歯根露出

オープンバイト(開咬)

「開咬」は「オープンバイト」とも呼ばれ、奥歯は噛み合っていても前歯が噛み合わず、閉じられない状態です。前歯で食べ物を噛み切れず、麺類などを舌で食べる癖がある場合は、開咬の可能性が考えられます。

前歯で噛めるようにし、出っ歯も改善したい。抜歯、外科手術が必要と言われた

インビザラインによる非抜歯治療
治療期間
8か月
プラン
インビザライン・フル
治療内容

抜歯や外科手術が必要とされることが多い開咬を、歯の移動方法を工夫して非抜歯で改善しました。

通常なら3~4年かかる場合も多い治療ですが、このケースでは歯を移動させる方法を工夫して、短期間で美しい歯並びに仕上げました。

施術のリスク:全ての方に、以下の症状が発生する可能性があります。

  • 疼痛
  • 咬合痛
  • 歯根吸収
  • 歯根露出

すきっ歯(空隙歯列)

歯と歯の間に隙間がある状態を「空隙歯列(くうげきしれつ)」、一般的には「すきっ歯」と言います。隙間が前歯の中央にある場合は、特に「正中離開(せいちゅうりかい)」と呼ぶことも。

原因としては生まれつき歯の本数が足りない場合や、余分な歯(過剰歯)が永久歯の成長を妨げている場合などが考えられます。

この状態を放置すると発音が不明瞭になったり、食べ物が隙間に詰まって歯周病にかかりやすくなったりするリスクがあります。

大人の歯が生えそろった後に自然に改善することはなく、矯正治療などで整える必要があるため、早めの治療がおすすめです。

前歯で噛めない。すきっ歯と出っ歯を改善したい

インビザラインによる非抜歯治療
治療期間
5か月(通院回数3回)
プラン
インビザライン・フル
治療内容

奥歯の高さが低く、前歯を後方に移動する方法をとると、矯正後の咬み合わせが悪くなりやすい歯並びでした。

マウスピース矯正では咬み合わせが悪化するとよく言われますが、当院では奥歯まで含めて咬み合わせをしっかり調整。

 

実は治療開始から数か月後、患者さまが急遽遠方のご実家に戻られることになりました。本来なら一度歯並びが整っても、細かい微調整や咬み合わせの調整を追加で行います。

しかしDr.斎藤秀也が精密なシミュレーションを作成していたため、追加のマウスピースを作らずに治療を完了できました。

 

私どもはリモート診療にも対応し、半年~1年に1度の通院で治療の継続が可能です。通院を最小限に抑えつつ、妥協せずに理想的な歯並びと咬み合わせを実現でき、非常に良い結果につながりました。

 

通常であれば治療に1年は要する歯並びでしたが、今回は短期間で改善できました。

施術のリスク:全ての方に、以下の症状が発生する可能性があります。

  • 疼痛
  • 咬合痛
  • 歯根吸収
  • 歯根露出

すきっ歯を改善したい

インビザラインによる非抜歯治療
治療期間
3か月
プラン
インビザライン・ライト
治療内容

この患者さまの主訴は、上下の前歯に複数の隙間があることによる「空隙歯列」でした。

咬み合わせ自体は良好でしたが、隙間の改善のためインビザライン・ライトでの治療を実施。

精密な治療計画の立案はもちろんですが、患者さまがきちんとマウスピースを装着されたことにより、わずか3か月という短期間で歯列を整えられました。

施術のリスク:全ての方に、以下の症状が発生する可能性があります。

  • 疼痛
  • 咬合痛
  • 歯根吸収
  • 歯根露出

ガミースマイル

笑うと歯茎が3mm以上むき出しになって見える状態を「ガミースマイル」と呼びます。

普段はまったく見えないのですが、笑ったときだけ過度に歯茎が露出するため、思い切り笑えないとお悩みの方も多くいらっしゃいます。結果として口元を手で隠す癖がつくなど、心理的な影響も少なくありません。

ガミースマイルと叢生を両方改善したい

インビザラインによる非抜歯治療
治療期間
10か月
プラン
インビザライン・フル
治療内容
担当矯正医からのコメント

上下の前歯に大きな叢生(ガタガタ)があり、特に下あごは抜歯が必要なほどでした。しかし精密な診断と治療計画により、歯を抜かずに短期間で歯を整える治療ができました。

さらに、ガミースマイル改善のために前歯への歯肉切除術を実施。神経をとった歯や銀歯は白い被せ物に入れ替えています。

歯に合っていない銀歯や詰め物・被せ物がある場合は、先に矯正治療を行った後、キレイになった歯並びに合わせて新たに詰め物や被せ物をかぶせる治療を行います。

※歯肉切除術・被せ物治療は別途費用がかかります。

 

施術のリスク:全ての方に、以下の症状が発生する可能性があります。

  • 疼痛
  • 咬合痛
  • 歯根吸収
  • 歯根露出

抜歯矯正

歯を並べるスペースが足りない場合に、歯を抜いて新たなスペースを確保する方法です。1本抜いたスペースに3本の歯をキレイに並べるという考え方で、一般的には健康な歯を上下で合計4本抜いて治療を進めます。日本の矯正治療では主流の方法とされています。

ガタガタな歯並びを改善したい

インビザラインによる上下4番の抜歯治療
治療期間
1年6か月
プラン
インビザライン・フル
治療内容
一般的には重度とされるガタガタ(叢生)な歯並びでした。マウスピース矯正では、歯を抜く治療はできないと言われる場合も多いのですが、当院では抜歯を伴う治療も行っています。
 
もちろん、歯を抜かずに治す選択肢もありましたが、患者さまのご希望により上下の4番目の歯を抜いて、キレイな歯並びを実現。

加速矯正装置を用いたため、通常3~4年かかるとされる治療を1年半で完了しました。

施術のリスク:全ての方に、以下の症状が発生する可能性があります。

  • 疼痛
  • 咬合痛
  • 歯根吸収
  • 歯根露出

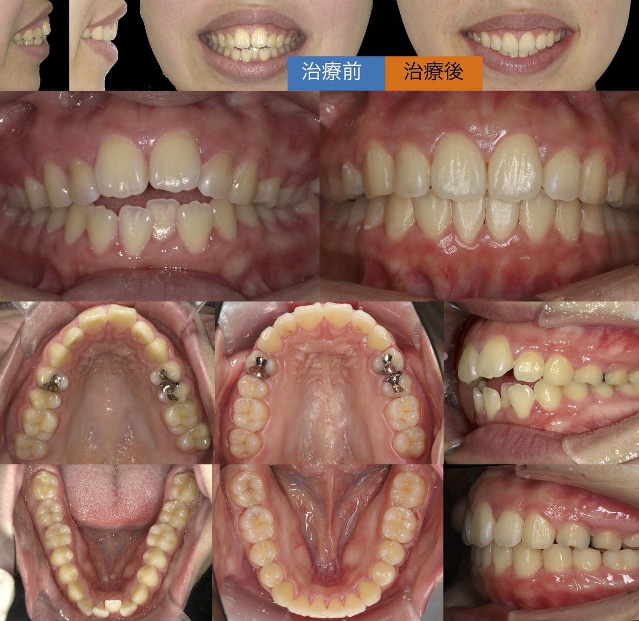
健康な歯を抜かずにガタガタの歯並びを改善したい

インビザラインによる上下5番の抜歯治療
治療期間

2年6か月

プラン
インビザライン・フル
治療内容

健康な4番の歯は残し、虫歯が大きかった5番の歯を抜いて治療しました。インビザラインでは「5番の歯の抜歯はできない」と言われていますが、患者さまの歯の健康を考慮した結果、この選択を行いました。

 

4番目の歯を抜くケースは多々ありますが、抜歯矯正の難易度が高いインビザラインでは、5番目の歯を抜くのは禁忌とする歯科医師もいるようです。

 

今回は難しい選択でしたが、これで将来健康な歯を多く残せる可能性が高くなり、追加のインプラントやブリッジが不要になるかもしれません。

インビザラインは難しい治療方法ではありますが、確かな技術と正しい知識があれば、このように素晴らしい結果を得られます。

 

私どもは9,087名の患者さまの経験をもとに、全ての患者さまのCT検査を実施。骨格を詳細に分析し、歯の位置を0.1mm単位で調整して治療計画を作成します。

難易度の高い治療でしたが、精密なシミュレーションにより良好な結果を得られました。

施術のリスク:全ての方に、以下の症状が発生する可能性があります。

  • 疼痛
  • 咬合痛
  • 歯根吸収
  • 歯根露出

他院からの転院

マウスピース矯正は非常に難易度の高い治療であり、担当する歯科医師の技術や経験によって結果が大きく変わります。予定していた期間を過ぎても治療が終わらないケースや、咬み合わせの不具合などのトラブルを抱え、患者さまが転院を余儀なくされるケースも少なくありません。

これは、その歯科医院での治療がいい加減だったということではなく、マウスピース矯正そのものが非常に難易度の高い治療だからです。治療の結果にお悩みの患者さまも多くいらっしゃると思います。まずはお気軽に当院までご相談ください。

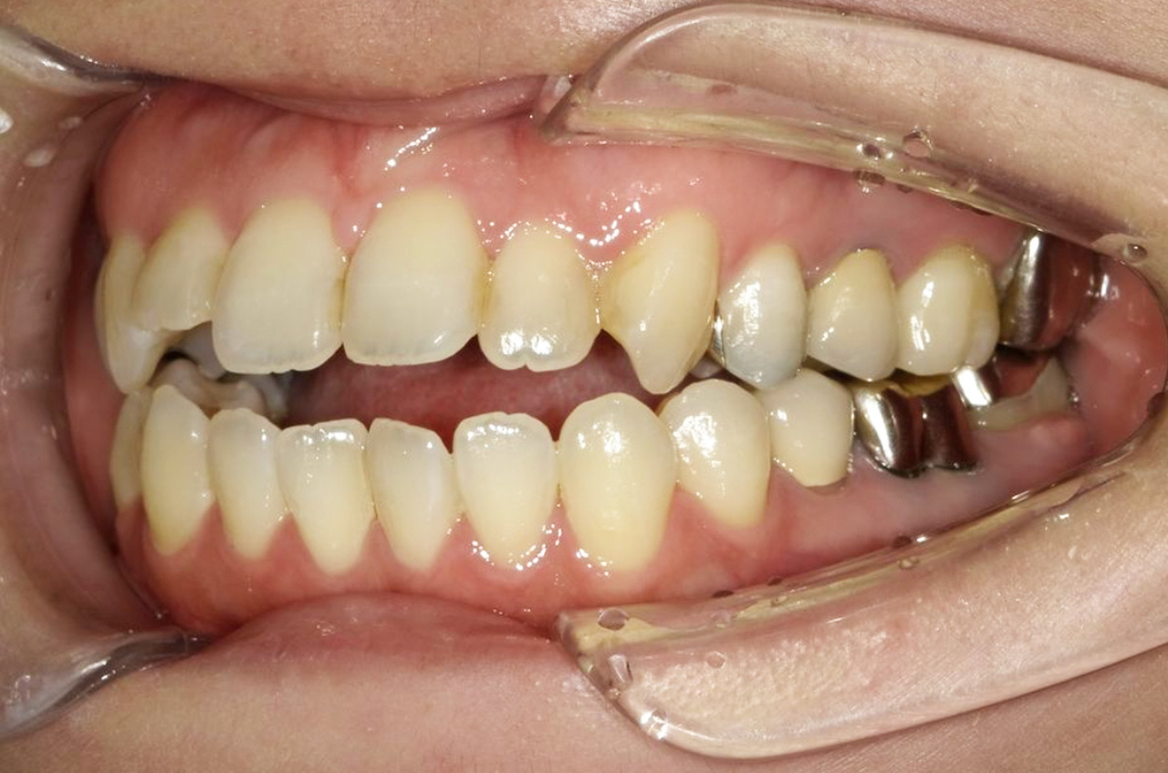
インビザラインの治療後に奥歯で噛めなくなり、あごに痛みが出た

インビザラインによる咬み合わせの調整
治療期間
6か月
プラン
インビザライン・フル
治療内容

治療計画を立てる歯科医師によって、インビザラインの治療結果は大きな差が出ます。

このケースは、インビザラインの治療を受けた後で、顎関節症(がくかんせつしょう)の症状が出てしまったものです。そこでまず顎関節症の治療を完了し、その後インビザラインで咬み合わせを再構築するリカバリー治療を行いました。

 

奥歯の咬み合わせに問題が出ることは珍しくありませんが、それを改善できるかどうかは担当する歯科医師の技術に依存します。今回の患者さまは短期間で改善が見られ、大変満足されていました。

施術のリスク:全ての方に、以下の症状が発生する可能性があります。

  • 疼痛
  • 咬合痛
  • 歯根吸収
  • 歯根露出

Dr.斎藤秀也

この記事の著者

さいとう歯科
矯正担当歯科医師:斎藤 秀也(さいとう しゅうや)

  • 日本矯正歯科学会 会員
  • インビザライン レッドダイヤモンドプロバイダー(歯科医師10万人の内、約5名)※インビザラインジャパン調べ​
  • インビザライン社 公式スピーカー(講師)
  • PBM healing社 公式スピーカー(講師)
  • ORTCインビザライン 公式スピーカー(講師)

<講演歴>

  • 日本アライナー矯正歯科研究会(JAAO)第2回症例検討会 講演
  • 日本アライナー矯正歯科研究会(JAAO)第4回症例検討会 講演
  • 日本アライナー矯正歯科研究会(JAAO)第6回症例検討会 講演
  • 日本アライナー矯正歯科研究会(JAAO)第7回症例検討会 講演
  • 日本アライナー矯正歯科研究会(JAAO)第9回症例検討会 講演
  • 2018年ISC小樽 デジタル矯正インビザラインの今 講演
  • PDM札幌 2020年「デジタル機器を使用した矯正治療」講演
  • PDM札幌 2021年「矯正治療の光と影」講演
  • ORTC 絶対に失敗しないマウスピース矯正33のことVol.1~33 講演

矯正治療、ワイヤーやマウスピースに関係なく、下記の副作用が生じる場合があります。

施術の副作用リスク) :疼痛、咬合痛、歯根吸収、歯根露出