大阪梅田で月々3,000~10,500円のマウスピース矯正なら

〒530-0001 大阪府大阪市北区梅田1-12-6 E-maビル5F

診療時間
10:00~19:00

休診日:火曜・水曜

ご予約・お問合せはこちらへ

0120-320-534

マウスピース矯正と失敗

マウスピース矯正を成功させるには

矯正治療は決して安くはありません。だからこそ「失敗したくない」と考えるのは当然のことです。ここでは、マウスピース矯正で失敗しないための歯科医院選びや、ブランド選びのポイントを解説します。これまでにマウスピース矯正で望む結果が出なかった方も、まだ解決の道は残されています。

インビザラインこそが
正しい選択肢

当院に通う患者さまのうちおよそ3割は、過去に矯正治療をしたものの再治療を希望し、来院された方です。

マウスピース矯正は非常に難易度が高い治療です。現在、インビザライン、インビザラインGO、クリアコレクトなどさまざまなマウスピース矯正がありますが、この中で選ぶならインビザライン一択と言えます。

なぜならインビザラインは、世界で最初に開発され、30年以上の実績と独自の特許技術を持つマウスピース矯正だからです。

見た目は似ていても、他社製のマウスピースとは大きな差があり、インビザライン以外を選ぶ理由はありません。

「インビザラインGO」には
注意が必要

実はインビザラインの中にも「インビザライン」と「インビザラインGO」という2種類があります。インビザラインGOは2018年に誕生した比較的新しいシステムで、矯正治療を専門に行っていない歯科医師でも扱いやすいように設計されたものです。

しかし、インビザラインGOで対応できるのは前歯の部分矯正に限られます。奥歯を考慮しない治療では咬み合わせが崩れたり、歯を過剰に削ってしまったりするリスクも。結果として歯の健康を損なうケースも少なくありません。

実際、出っ歯や前歯のガタつきの原因は奥歯にある場合が多いため、奥歯から正しく整えなければ後戻りのリスクも高まります。

 インビザライン治療は
歯科医師の技術次第

「インビザラインを導入している医院ならどこで受けても同じ」と思われがちですが、実際は担当する歯科医師の技術や経験、知識が治療の成否を大きく左右します。

Dr.斎藤 秀也は、全国10万人以上の歯科医師の中でわずか5人しかいない「レッドダイヤモンドプロバイダー」(インビザラインジャパン調べ)の1人です。これまでに累計9,087件の症例を手がけ、9年連続でプロバイダーに認定。4年連続でレッドダイヤモンドプロバイダーを受賞しています。

その豊富な症例と高い技術力を基盤に、精密な診断と治療を提供しています。

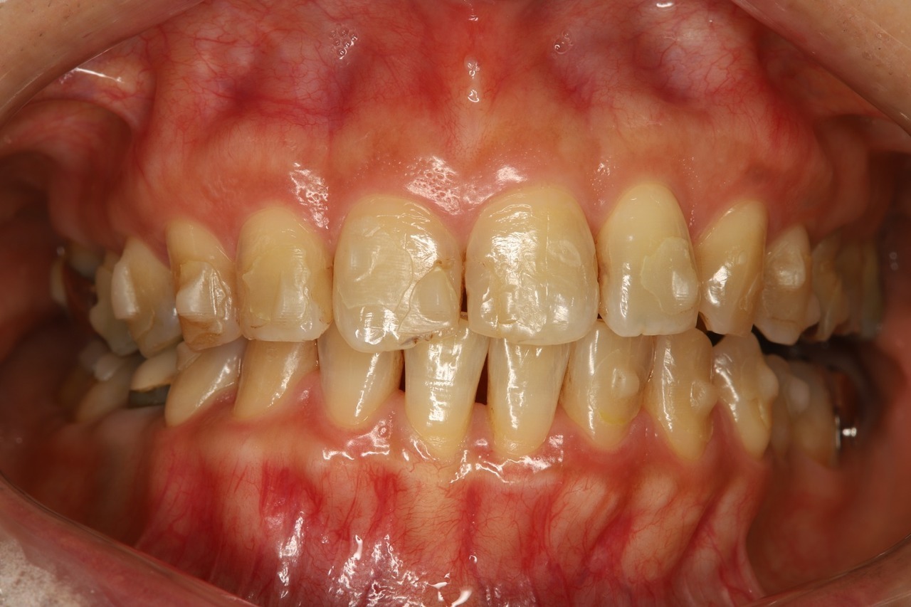
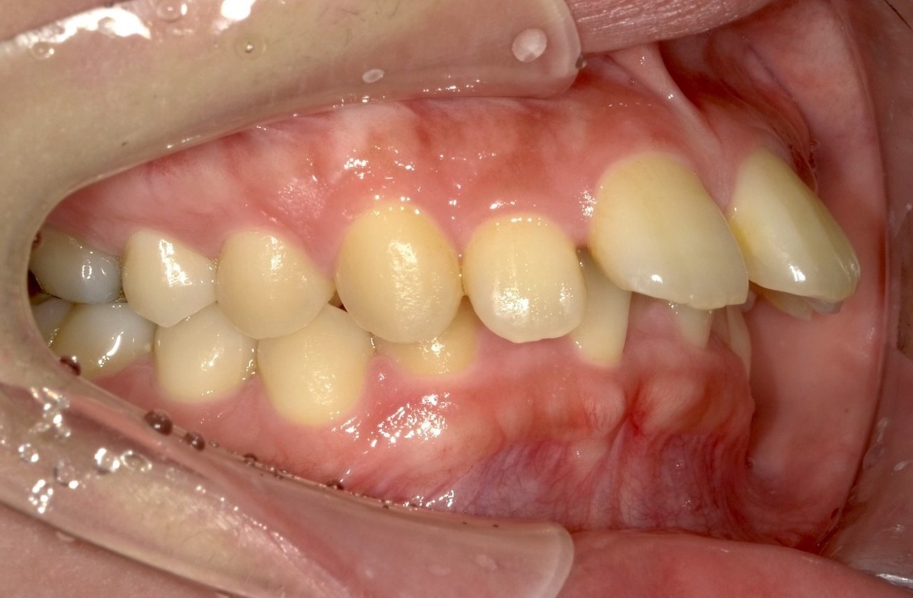
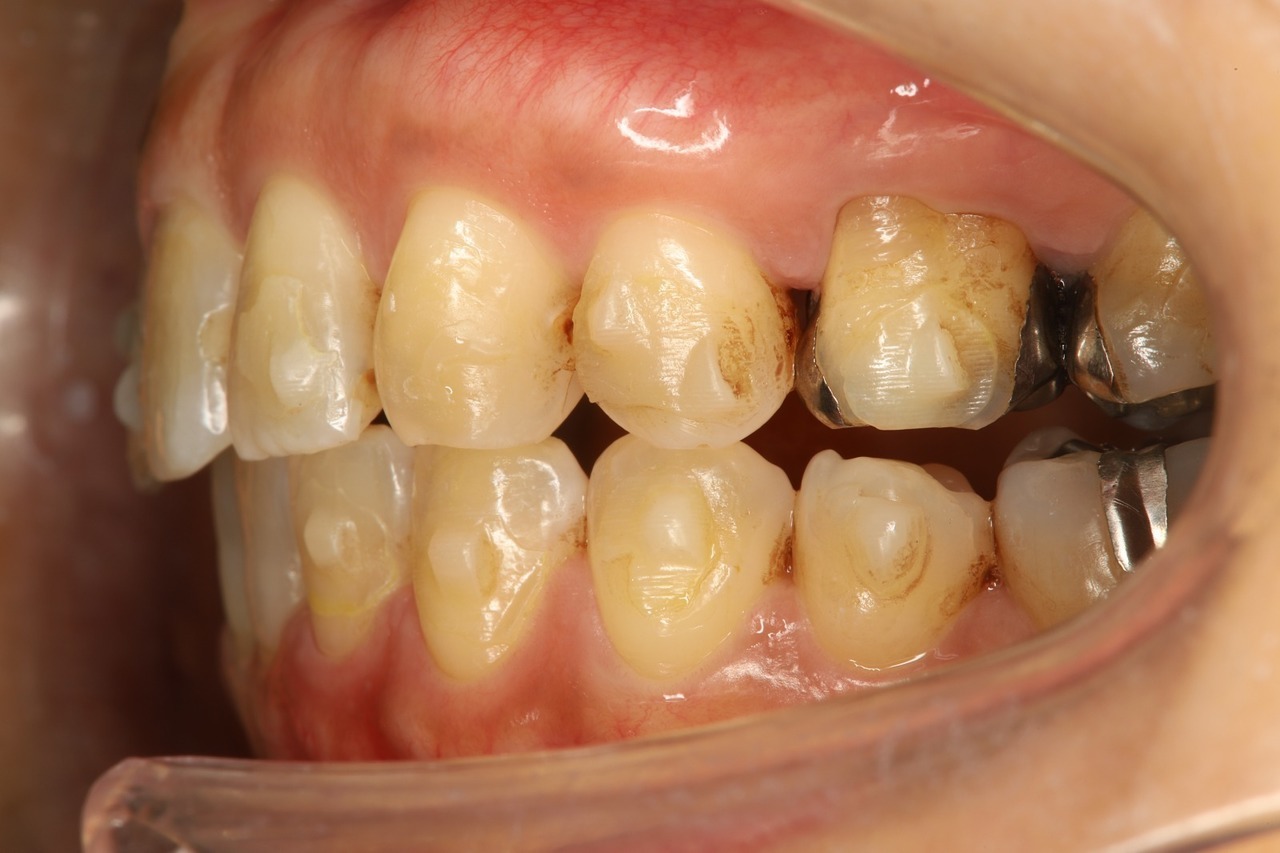
マウスピース矯正の失敗例

歯を並べるスペースの確保のために歯を削りすぎた結果、歯並びが完全に治らず前歯がすきっ歯になっています。

奥歯の上下が噛み合わなくなっています。これではお食事をとるのにも不自由します。

当院には、他院でマウスピース矯正を受けたものの、思うような結果が得られなかった患者さまが数多く来院されます。

この患者さまはインビザラインを4年間続けたものの、不十分な診断と治療計画によって歯を削りすぎてしまい、歯並びも咬み合わせも整わなかったケースです。

私どもは、過去にマウスピース矯正で失敗してしまった患者さまも受け入れて治療を行っています。

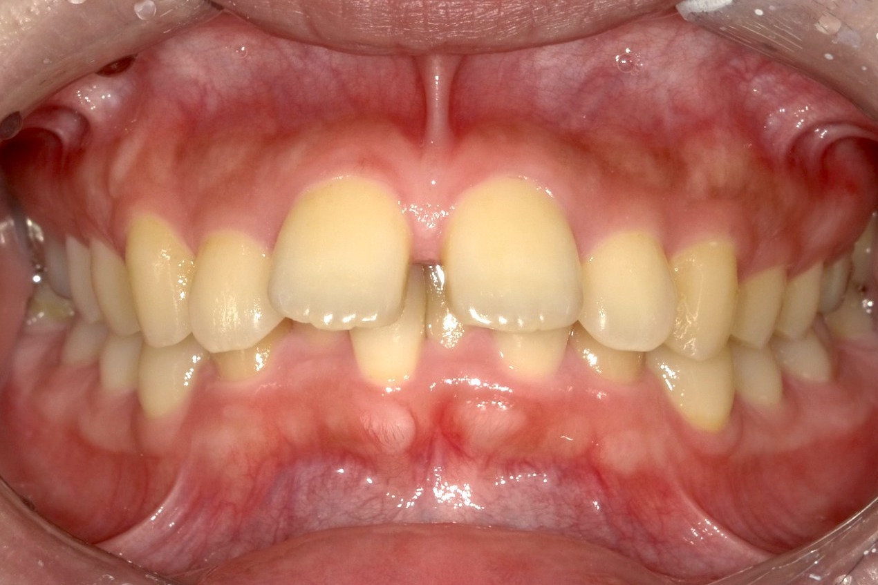
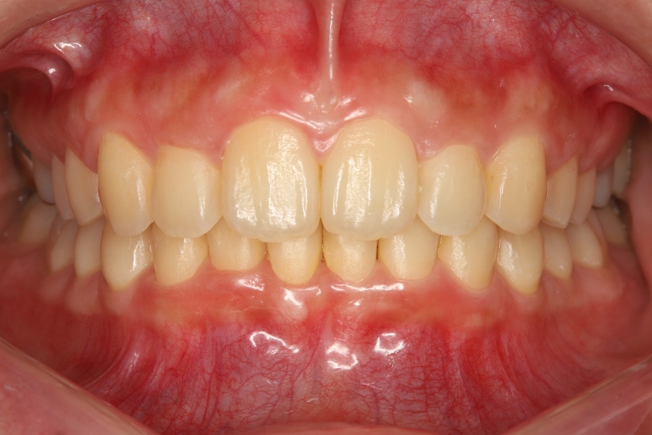
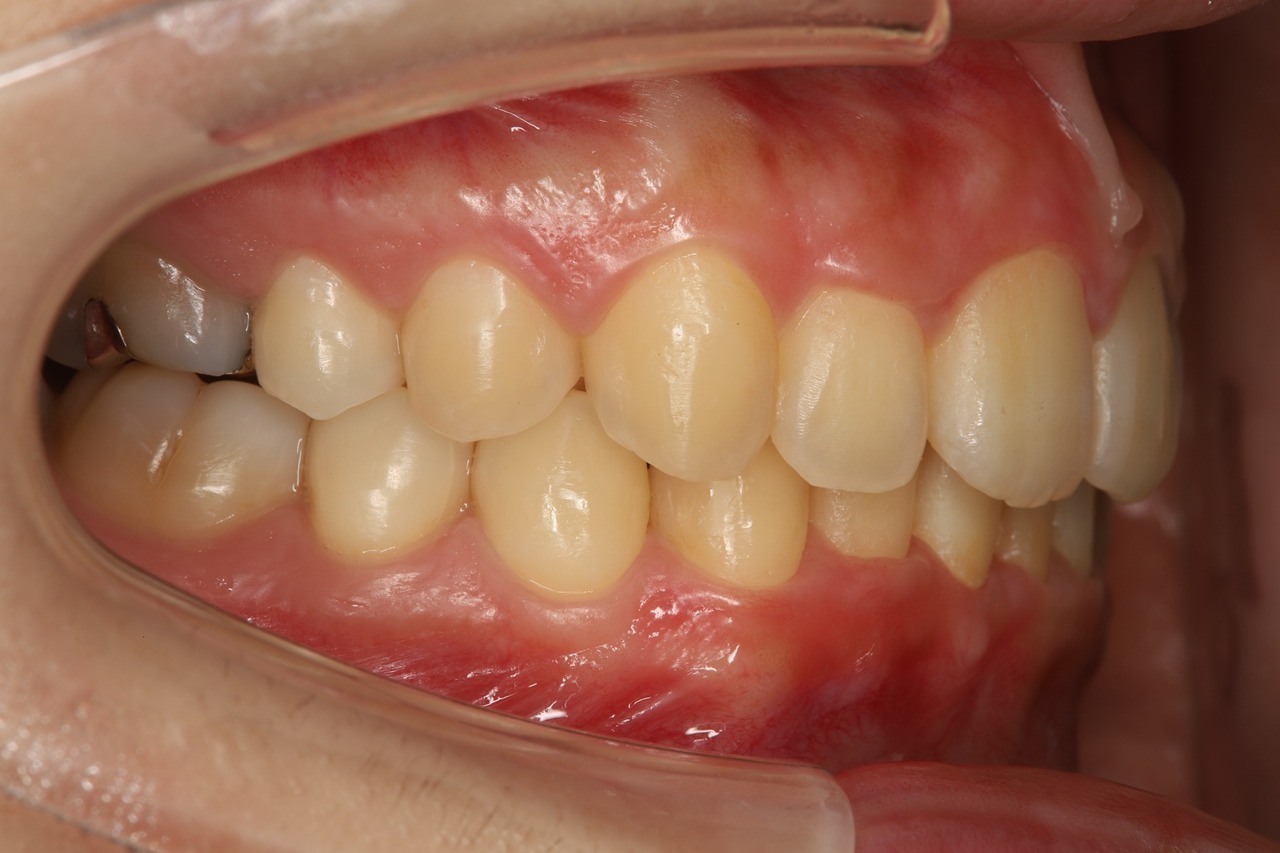
当院でのインビザライン治療例

こちらは当院でマウスピース矯正を行った患者さまです。前歯だけでなく奥歯の咬み合わせまで含めて調整することで、将来的な歯の健康や歯並びの安定を守ります。

Before

After

出っ歯が治り、歯と歯の間に隙間もありません。

Before

After

奥歯がしっかりと噛み合い、安定した咬み合わせになっています。

全ての患者さまに行える
マウスピース矯正

当院では、これまで9,087件の全ての症例を、マウスピース矯正(インビザライン)で治療してきました。「難しい症例だから」「外科手術が必要だから」といった理由でマウスピース矯正をお断りした患者さまは一人もいません。

他院で「手術が必要」と診断された方でも、精密なCT分析と適切な治療計画により、マウスピース矯正のみで対応できたケースがほとんどです。

失敗を防ぐために欠かせないCT分析

矯正治療を成功させるには、正確で精密な診断が不可欠です。当院では、以下の検査を行っています。

  • お顔の写真撮影
  • レントゲン撮影
  • パノラマ撮影
  • 正面セファロ撮影
  • 側方セファロ撮影
  • CT撮影

これらのデータを用いて、歯茎の後退や歯の神経の異常、歯の根の吸収の状態などを事前に確認し、治療中のトラブルを防ぎます。患者さまのお口の状況を把握し、矯正治療を成功に導くには、特に歯科用CTでの分析が要だと言えるでしょう。

当院では全ての患者さまに対し、Dr.斎藤 秀也が0.1mm単位で分析して治療計画を作成。シミュレーションに反映させています。この工程を自ら行う歯科医師は、決して多くないのが実状です。

この記事の著者

Dr.斎藤秀也

さいとう歯科
矯正歯科医師:斎藤 秀也(さいとう しゅうや)

  • 日本矯正歯科学会 会員
  • インビザライン レッドダイヤモンドプロバイダー(歯科医師10万人の内、約5名)※インビザラインジャパン調べ​
  • インビザライン社 公式スピーカー(講師)
  • PBM healing社 公式スピーカー(講師)
  • ORTCインビザライン 公式スピーカー(講師)

<講演歴>

  • 日本アライナー矯正歯科研究会(JAAO)第2回症例検討会 講演
  • 日本アライナー矯正歯科研究会(JAAO)第4回症例検討会 講演
  • 日本アライナー矯正歯科研究会(JAAO)第6回症例検討会 講演
  • 日本アライナー矯正歯科研究会(JAAO)第7回症例検討会 講演
  • 日本アライナー矯正歯科研究会(JAAO)第9回症例検討会 講演
  • 2018年ISC小樽 デジタル矯正インビザラインの今 講演
  • PDM札幌 2020年「デジタル機器を使用した矯正治療」講演
  • PDM札幌 2021年「矯正治療の光と影」講演
  • ORTC 絶対に失敗しないマウスピース矯正33のことVol.1~33 講演