大阪梅田で月々3,000~10,500円のマウスピース矯正なら

〒530-0001 大阪府大阪市北区梅田1-12-6 E-maビル5F

診療時間
10:00~19:00

休診日:火曜・水曜

ご予約・お問合せはこちらへ

0120-320-534

セカンドオピニオン

矯正治療が思い通りにならなかった方へ

矯正治療の再治療は
お任せください

当院は年間でおよそ1,000症例という国内有数の治療実績を持ち、高度なマウスピース矯正をご提供しています。その1,000症例のうちの約3割は、他院で治療を受けたものの満足できず、再治療を希望して来院された患者さまです。

私どもの歯科医院なら、全国トップレベルの症例数と確かな経験・技術に基づき、短期間で「美しい歯並び」を取り戻せます。

マウスピース矯正を断られた経験のある方、ワイヤー矯正で改善が見られなかった方、外科手術が必要と診断された方も、ぜひ一度当院にお任せください。

矯正治療の
セカンドオピニオンについて

矯正歯科を担当する歯科医師たちは、皆がそれぞれ真剣に治療に取り組んでいます。しかしマウスピース矯正は、特に担当する歯科医師の知識と経験に左右される治療です。そのため、歯科医師によっては1人の患者さまの治療に5~10年もかかってしまうケースもあるのです。

当院では、9,087件を超える治療実績から、一人ひとりに合った治療を行い、理想の口元を実現いたします。他院でマウスピース矯正を断られた患者さまや、外科手術が必要だと言われた方、従来のワイヤー矯正では効果が見られなかった方も、私どもなら治療が可能です。

他院でインビザラインの治療中、奥歯で物が噛めなくなりあごに痛みが出た

インビザライン・フル
期間
6か月
費用
71.5万円
治療内容

インビザラインは、治療計画を担当する歯科医師によって仕上がりが大きく変わります。こちらの患者さまは、他院での治療後に奥歯で噛めなくなり、あごの痛みに悩まれていました。

 

まず顎関節症(がくかんせつしょう)の処置を行い、その後リカバリーとしてインビザラインによる矯正を実施。短期間で咬み合わせが回復し、長く抱えていた不調が改善されたことで大変満足されました。

施術のリスク:全ての方に、以下の症状が発生する可能性があります。

  • 疼痛
  • 咬合痛
  • 歯根吸収
  • 歯根露出

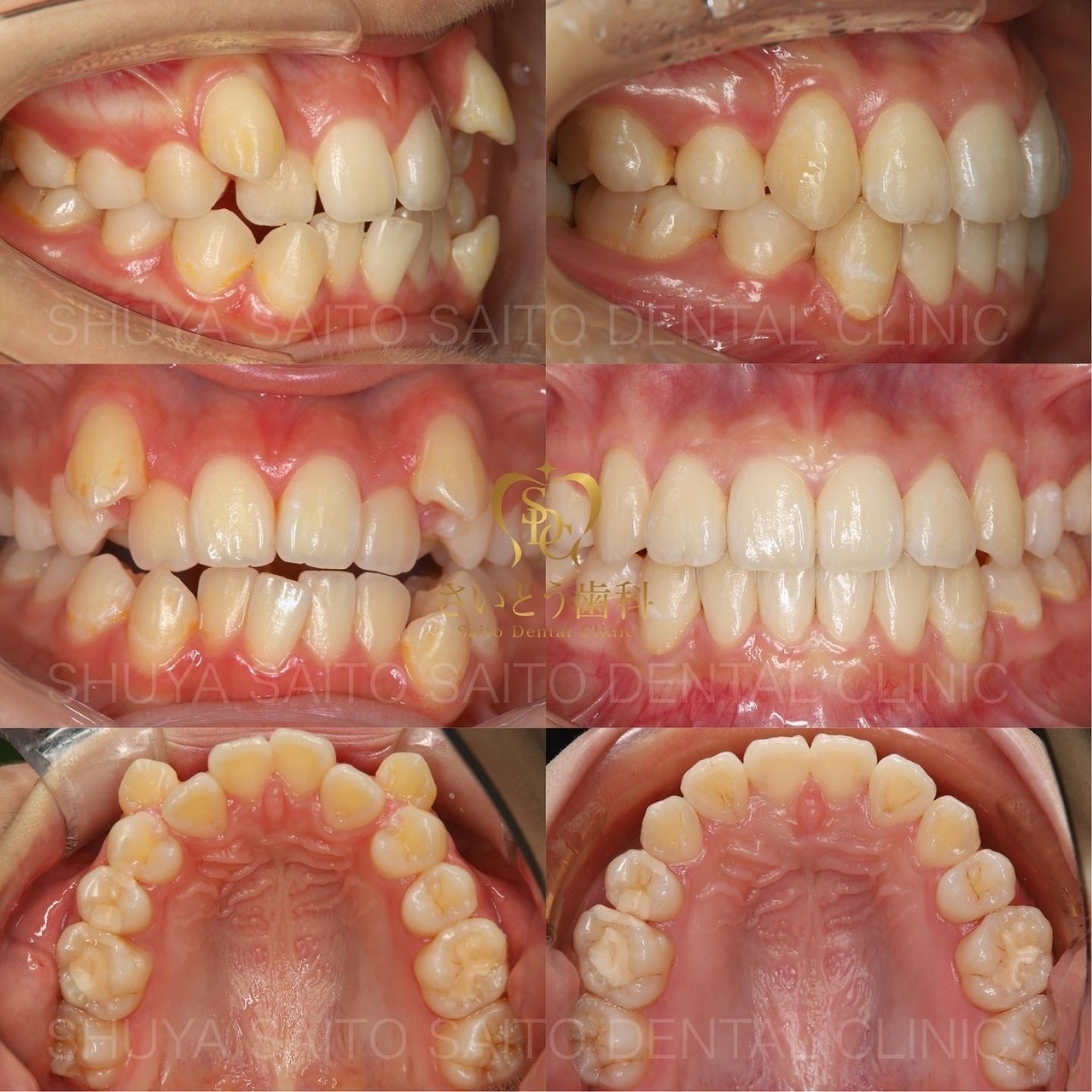
八重歯を治したい

インビザライン・フル(上下4番抜歯)
期間
2年
費用
71.5万円
治療内容

一般的に、インビザラインではキレイに仕上げるのが難しいとされる「4番目の歯の抜歯」を伴う矯正です。歯を抜かずに進める方法もありましたが、患者さまは「笑顔や顔立ちの美しさ」「将来的な歯の健康」を考慮し、抜歯を希望されました。

当院では歯科用CTで骨格まで分析し、歯の位置を0.1mm単位でシミュレーション。最も美しい顔貌と長期的な健康を両立できる治療計画を立案しています。

施術のリスク:全ての方に、以下の症状が発生する可能性があります。

  • 疼痛
  • 咬合痛
  • 歯根吸収
  • 歯根露出

全ての患者さまに
マウスピース矯正で対応

現在9,087名の方にマウスピース矯正「インビザライン」による治療を行ってきましたが、症例が難しいからという理由で治療をお断りしたケースは一例もありません。

さらに、他院で「外科手術が必要」と診断された患者さまも、当院ではほとんどが外科手術を行わずに矯正を進められています。

マウスピース矯正を断られた方、ワイヤー矯正で満足いく結果が得られなかった方、手術が必要と言われて迷われている方も、ぜひ一度ご相談ください。

矯正治療を失敗しないために
重要なCT分析

正確な診断のため、以下の全ての検査を行います。

  • お顔の写真撮影
  • レントゲン写真撮影
  • パノラマ撮影
  • 正面セファロ撮影
  • 側方セファロ撮影
  • CTスキャン

これらはすべて治療に必要な情報を得るために有用ですが、特にCTによる分析は矯正治療を成功させる上で欠かせません。歯肉退縮(歯茎が下がる)や歯髄壊死(しずいえし:歯の神経が死んでしまう)、歯根吸収(歯の根が短くなる)などが生じる可能性を把握できるため、リスクを事前に避けやすくなります。

患者さま一人ひとりの治療計画は、すべてDr.斎藤 秀也がオーダーメイドで0.1mm単位の分析を行い、シミュレーションに反映しています。ここまで徹底した矯正治療を実践している医院は全国でも限られています。